夏天到了,
吃火锅、串串、虾,
喝冰镇啤酒的季节到了,
可是你考虑过你的胃肠感受吗?
如果你已经40岁了,如果你有慢性腹痛、腹泻、腹胀、黏液便、黑便、血便等情况,千万别犹豫,记得给你的胃肠做个SPA吧!
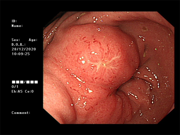
胃肠道疾病很多,如溃疡、息肉、炎症及恶性肿瘤,均需要行胃镜及肠镜检查,才能直观检查出来,早检查、早诊断、早治疗。谈到消化道疾病,最让老百姓恐惧的就是消化道肿瘤,在中国,肺癌、大肠癌和胃癌位列发病率前三位,其中大肠癌(包括结肠癌和直肠癌)发病增速最为显著,从上世纪70年代初的第六位上升到第二位。
随着大众健康意识的提高,越来越多的人意识到健康体检的重要性。然而,当前很多体检貌似全面科学实则存在着不少缺陷,比如胃肠道就是常常被遗忘或遗漏!
以致于时常听到有人抱怨:去年才做完体检,今年咋就得癌了?体检真不准!事实果真如此吗?
案例
患者何某,男,22岁,未婚青年,长期酗酒,撸串,近1年反复上腹痛,胃镜检查:十二指肠溃疡、晚期胃癌!


患者刘某,男,43岁,公司高管,平素身体健康,饮食、大便均正常,每年单位体检均未见异常。然而,近一月以来自觉胃胀不适,来医院就诊医生给他安排了胃镜检查及CT,一查吓一跳:进展期胃癌并转移,已失去手术机会!


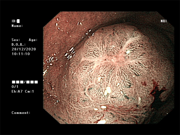
患者周某,男60岁,体检行肠镜发现直肠肿物,行肠镜下直肠黏膜下剥离术(ESD),术后病理:绒毛状管状腺瘤,局灶呈高级别上皮内瘤变。



所以,定期的胃肠镜检查尤为重要!
究竟是什么原因使得胃肠疾病被漏诊?
1.认识误区:错以为胃肠没症状就没事。许多人觉得自己胃肠很好,能吃能喝,不痛不胀,消化道应该没什么毛病,不需要检查。殊不知,多数胃癌肠癌不到晚期往往没有症状,正是因为没有症状,所以麻痹了许多人,等有症状时为时已晚!所以,切莫以为胃肠无症状就没事,要知道胃肠道肿瘤早期最大特点就是无症状!
2.体检项目遗漏胃肠镜:据了解,目前国内多数体检机构的一般体检项目都局限于像抽血、B超、心电图、CT、核磁等检查。由于胃肠道的特殊性,胃肠道疾病对这些检查而言都不敏感。
实际上,目前电子胃镜和结肠镜检查才是胃肠检查的首选方法!
尤其在我国这样一个消化道肿瘤高发国家,胃肠道不做胃肠镜检查,其漏诊机率非常大,后果严重!
3.宣传误导:有些体检中心宣称一滴血就能查胃癌、肠癌,B超可以查胃病等等。这些检查项目简单易做,老百姓容易接受。但这些检查对胃肠道疾病而言却意义有限,有些甚至可能会给患者带来误导。
4.需要正确认识胃肠镜:许多人觉得胃肠镜检查一定很痛苦,很可怕,其实,胃镜检查主要不适感觉是恶心,肠镜主要是腹胀,这些不适感对绝大多数人而言都是可以耐受的。如果心里过于恐惧或者特别敏感的,还可以选择无痛胃肠镜检查。切记,不要因为恐惧害怕就放弃,胃肠道体检一定要做胃肠镜,以免遗漏病变。
胃肠镜检查是目前发现消化道肿瘤及癌前病变最简便、最安全、最有效的方法。但很多人恐惧胃肠镜检查,致使一些大肠病变甚至肿瘤不能早期确诊,而延误最佳治疗时机,近年来随着麻醉药品和医疗监护技术的进步,出现了无痛肠镜检查。其实质就是在检查前经静脉注射一种起效快、有效时间短、作用确切的麻醉药物,使患者在数秒钟内入睡,完成全部检查后早期即能苏醒,检查过程中不会有任何的不适和痛苦感觉,说简单点就是人在睡着时候就做完检查了,醒来后没有任何的不舒服。
哪些人群需要做胃肠镜诊治呢?
一、40岁以上的普通人群,无论男女,均应做一次胃肠镜检查。如有阳性发现(溃疡、息肉等),在做完治疗后均应定期复查。
二、有消化道不适的人群,比如胃部不适,可表现为上腹痛、下腹痛、反酸、嗳气、饱胀等;肠道不适,可表现为下腹痛,大便习惯与性状的改变,比如每天排便一次变为排便多次,或者便秘、便稀、反复便血、鼻涕状黏液血便等。
三、有不良生活习惯:抽烟、喝酒、饮食不规律或暴饮暴食或大鱼大肉,喜吃腌制食品和烧烤,工作压力大、经常熬夜。
四、有食管癌、胃癌、肠癌家族史的人群可将初检年龄提前到40岁甚至30岁。
五、正常体检时发现CEA、CA199等消化道肿瘤标志物升高,需要尽快做胃肠镜以进一步排查。
科室简介
仪陇县中医医院脾胃病科是我院的南充市市级重点科室,包括住院病区(内一病区)、门诊及消化内镜室。我科现有医护人员17名,其中副主任医师2名,主治医师1名,住院医师2名,消化内科病房配有床位35张,年住院病人约1500人次,年门诊量超1万人次,对消化科的急危重症疾病(如:消化道大出血、消化道异物、急性胰腺炎、肝硬化等)的救治已达到县内先进水平,在国家及省级期刊发表论文多篇,国家发明专利1项,多人为省、市级学术委员会会员。
我科内镜室开展的技术有:
· 无痛苦胃肠镜及普通胃肠镜检查、碳(13/14)呼气试验
· 放大胃肠镜精查
· 内镜下止血术(钛夹、荷包缝合、套扎、硬化、组织胶等)
· 内镜下内痔硬化术(CAES)及套扎术
· 消化道息肉切除术
· 食管、胃、结直肠早期癌粘膜下剥离术(ESD)
· 食管支架置入术
· 食管探条扩张术、球囊扩张术
· 消化道异物取出术
· 经皮内镜胃-空肠造瘘术(PEG/J)
· 内镜下抗反流手术(切除、套扎、注射等)