随着大家生活水平的提高,脑血管相关疾病增长迅速,大家对血管相关检查需求明显增加。脑卒中发病率高,致死致残率高,我国每年新发脑卒中患者达到350余万人,中风是世界第二大死亡原因、残疾的第三大主要原因。目前我国卒中带病生存者高达1500万。每天的工作中,都可以看到新发脑卒中患者的发生,发生的年龄不限于中老年人,3年轻人也有发生。柳叶刀全球卒中报告指出:每4个25岁以上的人,就有1个会发生脑卒中。卒中是可防、可治的疾病,做好卒中的预防是降低卒中发病率的根本措施。早期发现脑血管问题,做到脑血管病的早发现、早预防。

常见的血管检查包括CT血管成像、MRA、DSA检查,其中DSA属于有创检查,平时不适用于体检筛查,更多用于治疗前检查,CT血管成像由于在CT检查中会受到X射线辐射的危害,大家现在都是谈辐色变,头颅磁共振血管成像(MRA)是绿色、无辐射的安全检查,选择头颅磁共振血管成像不会受到X射线辐射的危害,只需要遵守检查前的注意事项及配合技师要求躺在检查床上5-10分钟即可完成。

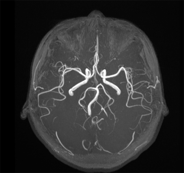
MRA即磁共振动脉血管成像。头颅MRA对颅脑和颈部的大血管显示效果好,可对颅内的血管有无狭窄、有无闭塞、有无血栓及出血性疾病,脑动脉瘤和脑血管畸形进行初步诊断和评估。

常规情况下,40岁以上的成年人如果有糖尿病、血压大于等于140/90mmHg、血脂异常(血脂四项中任何一项异常)、心房颤动、超重或肥胖、体育活动少、吸烟、脑卒中家族史等异常中的一项。脑动脉瘤大概7%的发生率,常规情况下建议建议进行一次头颅MRA检查,以排除和发现脑动脉瘤。