近日,一面写有“医德高尚暖人心,医术精湛传四方”的锦旗送到了内四病区医护人员的手上,这面锦旗的背后有着怎样的暖心故事呢?

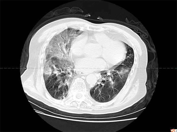
2022年12月26日,患者黄某某,因呼吸困难入院,CT显示:双肺散在多发感染。

同时存在肺气肿、严重低蛋白血症等多种严重病症危及患者生命安全。内四病区主管医生高钰荣立即给予吸氧纠正低氧,抗感染,解痉平喘,化痰止咳,补充白蛋白营养支持等治疗,治疗过程中,患者病情几经反复,甚至感觉希望渺茫,主管医生多次组织科内会诊、讨论,为其制定了科学合理的治疗方案,西医吸氧纠正呼吸衰竭、补充白蛋白营养支持,抗感染,解痉平喘,化痰止咳,配合使用中药,清肺排毒,健脾化湿。经过中西医结合治疗及精心护理,患者病情逐渐稳定,最后顺利出院。
温馨提示:
冬春交替,警惕倒春寒,气温变化大,是呼吸道疾病加重的重要因素,老年人尽量减少外出,注意通风保暖;如原有基础症状如咳嗽、咯痰、气促等出现加重,请及时就医。
医生简介
