1月25日,仪陇县中医医院引进的1.5T光梭超导磁共振成像系统(光梭1.5T磁共振)正式投入使用。新设备的投入使用,解决了我院患者做磁共振检查需外送的难题,极大方便患者,同时将极大地提高我院的诊疗水平。

该设备为目前整个业内先进的1.5T磁共振成像设备之一,搭载高端机型才具备的光梭成像平台,代表了磁共振技术的未来发展方向,开创了1.5T磁共振极速腹部动态增强成像及超快速3D零间隔扫描等各项全新临床新应用,显著提高图像质量,更好的患者舒适度、检查成功率和小病灶检出率。实现极速动态增强成像、精准定量、超快速3D零间隔扫描,可满足各类患者的检查需求,助力影像精准诊断。

开机仪式
光梭1.5T磁共振开机仪式于1月25日上午举行。医院党总支书记、院长表示,该设备的引进是我院又一个里程碑,必将推动现代医学高质量发展。希望科室人员刻苦专研,提升诊疗技术水平和医疗服务能力,让广大群众在家门口享受优质服务。开机仪式由副院长董勤建主持,班子成员、部分临床科室、职能科室负责人和放射科全体人员参加开机仪式。

党总支书记、院长彭建讲话

揭牌
一、设备优势
磁共振对人体安全、无电离辐射(放射性)损害,老人、婴儿、孕妇皆可检查。光梭1.5T磁共振是世界上先进的高场磁共振之一,具有高度的软组织分辨率,可获得多方位、多参数的体层影像,提高对病变的定位及定性的诊断,能更全面满足患者的就医需求,同时能为临床提供更多、更新的诊断方法和思路。它的投入使用标志我院影像检查诊断技术又迈上一个新的台阶,将会推动我院的临床医疗服务水平有更大提高。

二、磁共振的临床应用
(一)神经系统方面应用:弥散成像(DWI)、灌注加权成像(PWI)及磁共振波谱成像(MRS)的应用,能发现超早期脑中风、脑肿瘤、脑血管畸形(MRA成像)和各种感染性疾病,对癫痫、儿童脑发育不良、创伤及预后、肿瘤术后疗效及有无复发的判断均有良好效果。
(二)腹部方面应用:肝癌、肝血管瘤及肝囊肿的诊断与鉴别诊断,腹内肿块的诊断与鉴别诊断,尤其是腹膜后的病变。用于胰腺、肾脏、肾上腺等的检查,除常规序列外,主要有容积加速肝脏采集技术,特点是范围大、短时间、高分辨率,压脂均匀;脂肪定量技术,可无创检测组织内脂肪含量,用于脂肪肝的诊断;自由呼吸技术,主要适用于不能憋气患者的检查。
(三)盆腔应用:该设备对于前列腺、直肠、妇科疾病的诊断具有较高的临床应用价值。包括良恶性肿瘤鉴别和相关分期。
(四)四肢关节及软组织的应用:包括良恶性骨肿瘤、慢性炎症、滑囊积液、关节创伤、关节退变、无菌性坏死等诊断具有其他影像学检查无法比拟的价值。以及全面丰富的动态分析后处理,显著提高小病灶检出率。
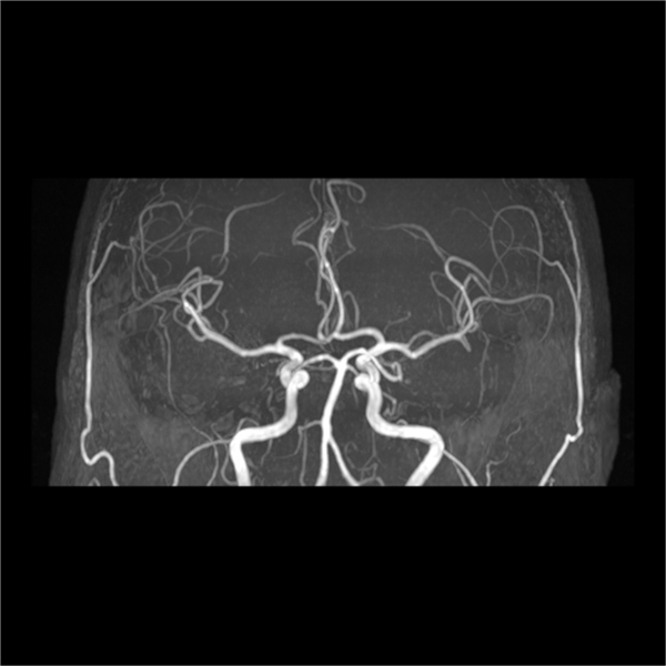
(五)血管成像:无需注射对比剂,对全身血管进行扫描,先进的多角度后处理重建,保证了扫描区域内血管的连续性。用于检查颅内、颈部以及四肢的动脉瘤、动静脉畸形、静脉病变等。
(六)胆系MRCP、泌尿系MRU水成像、耳迷路造影:无需注射对比剂,利用体内自含水分,清晰显示各造影区域内全貌,对局部各种疾病进行诊断,进一步观察周围组织有无浸润或转移。
(七)类PET成像技术:光梭1.5T磁共振具有全身弥散成像(类PET成像技术)的特有功能,同时可获得与PET/CT类似临床价值,能明显降低低患者行PET/CT的经济负担,对早期恶性肿瘤检查、转移灶筛查、淋巴结转移筛查、寻找原发灶、术后放化疗后的疗效观察有较大的科研和临床价值。
(八)心脏大血管方面的应用:各种先心病、心肌病、冠心病和动脉瘤等血管病变以及胸部各类肿瘤。
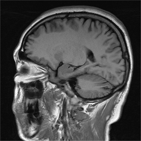
部分平扫图像展示




头颅血管与神经联合显示


血管成像图


脂肪精准定量

臂丛神经成像

三、磁共振检查注意事项
1.检查前,受检者应取下一切金属物品(如手机、手表、发卡、硬币、磁卡、钥匙、打火机、金属皮带、金属项链、金属耳环、金属钮扣等),并不得将其带入检查室内。尽量应身穿纯棉质料的衣裤进行检查为宜;轮椅病床等金属材质辅助设施严禁进入。
2.磁共振检查禁忌症:
①装有心脏起搏器,神经刺激器,胰岛素泵,人工心脏瓣膜,动脉瘤夹(钛合金除外),电子耳蜗等。
②体内有金属异物者,如子弹,碎弹片或铁砂粒等、骨折手术后固定钢板、钢钉、镙丝、人工假肢或关节、体内节育环、阴茎假体、助听器、眼内金属异物、义眼、活动假牙,牙托及头面部有植入物等。
③妊娠3个月内的早期妊娠者。
④危重病人需要生命支持系统者(如呼吸机,心电监护仪等)。
⑤癫痫发作时,幽闭恐惧症患者及不能配合检查者。

放射科咨询电话:0817-7777237