为满足患者多层次需求,提升医疗服务能力,我院引进一台联影1.5T高场磁共振扫描仪,现已入场安装,预计本月22日完成调试后,将正式投入临床使用。

众所周知,磁共振设备在医院当中可谓“院之重器”,磁共振设备能够快速、大范围、高质量的完成全身各部位的成像,尤其是对中枢神经系统及骨关节系统、软组织、腹部、盆腔等部位的诊断具有明显优势。同时它还具有以下优点:
更安全:无电离辐射,避免射线对人体带来的危害,可以多次检查或一次行多部位检查。
更快速:扫描速度快,可明显缩短患者等候时间,受检者接受度高。
更高清:图像分辨率高,可以更清晰的显示病灶。
更智能:配备有多种功能成像软件,可以充分了解组织的生理、生化、病理及代谢的变化,为疾病诊疗提供更可靠的信息。
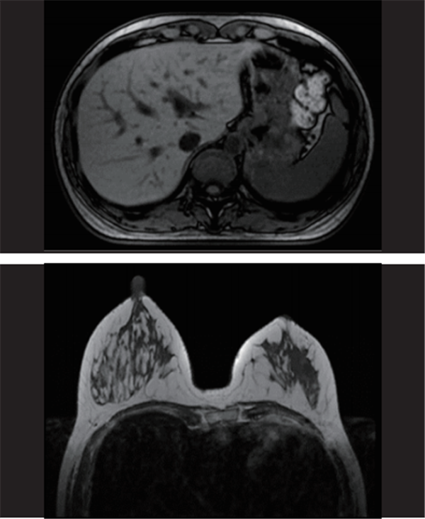
1.5T高场磁共振图像展示

(头颅MRA成像、膝关节平扫)

(腹部平扫、乳腺平扫)

(功能成像图、软组织成像)
磁共振设备的引进,标志着我院影像诊断技术又迈上了一个新的台阶,给临床疾病的准确诊断提供了依据,对临床具有极高的指导价值,对我院整体医疗技术水平的提高必将产生重要的支撑作用。我院将充分发挥这一高新设备的功能,为广大患者早期发现、早期诊断、早期治疗疾病提供更好的保障。